为了长久保持自己的牙齿

关于龋齿
龋齿可以预防吗?

口腔内始终存在细菌。
        通过每天正确的刷牙和定期在牙科医院进行清洁可以预防。此外,通过在清洁后涂抹氟化物,可以使牙齿变得坚固,不易生龋齿。为了更持久地保持效果,建议定期来诊所涂抹氟化物。
我诊所会根据需要涂抹氟化物,帮助预防龋齿。
预防的重要性・定期检查
治疗结束后进入维护阶段。即使每天刷牙都无法完全去除的残留物,和已形成的牙石、生物膜等,均需要去除。为了保持口腔的清洁,定期性维护是必不可少的一环。
关于维护

我们会仔细检查口腔内是否有变化。使用显微镜和放大镜告知您有残留的地方或可能生龋齿的地方。
通过清洁口腔可保持牙齿清洁,并暂时减少口腔内细菌数量。
定期进行维护可以预防龋齿和牙周病。
治疗案例
| 治疗前 | 治疗后 | 
|---|---|
|  |  | 
关于牙石和生物膜
口腔内的细菌(牙菌斑)是“活的细菌斑块”。
        其中存在引发牙周病的牙周病菌,这些细菌长时间地积累就会导致牙周病。
牙石是这些细菌的尸体斑块,单独的牙石引发疾病的可能性较低,但牙石的表面凹凸不平,非常容易附着牙周病菌。
去除牙石能暂时减轻牙龈的炎症,因此清洁去除牙石是很重要的。
牙龈检查

将器具插入牙齿和牙龈之间的缝隙进行牙龈检查。
        如果没能彻底地刷好牙,经牙齿和牙龈的缝隙中附着的细菌、牙石和牙垢的刺激,会导致牙龈内部发生炎症,进而出现牙龈出血和肿胀。
此外,牙齿周围如长期附着牙垢和牙石,支撑牙齿的牙槽骨将会出现溶解现象,导致牙齿松动。
1. 问诊
询问口腔内的状态和身体状况是否有变化。
2. 口腔检查
带您进入检查间进行口腔检查。(拍摄X光片并记录口腔内的情况。是否有龋齿,牙龈是否肿胀。)
3. 清洁
使用专用设备进行专业清洁。牙周病和龋齿的预防效果显著,同时可以保持牙齿的清洁。
牙刷、牙线、牙间刷的使用方法
牙刷的刷毛无法到达的牙间部污垢用牙间刷去除。
牙间刷的使用方法
1. 选择比牙间部稍细的牙间刷。

2. 不要压到牙间乳头,将牙间刷沿着牙齿和牙龈的边缘插入。

3. 在此状态下,慢慢移动牙间刷2~3毫米进行刷牙。
        ※此时,不需要大幅度移动牙间刷。强行插入或过度移动可能会损伤牙龈。

牙线的使用方法

将切断的牙线在一只手中指上缠绕2~3圈。用双手的拇指和食指捏住,拉紧牙线后进行操作。清洁完一颗牙齿后,移动到下一个牙齿时,换用新的部分重复相同的操作。
※ 注意事项
使用牙线时,如果线被卡住,需慢慢抽出。可能是填充物松动了。此外,如果每次都在同一位置卡住,可能是出现了龋齿。
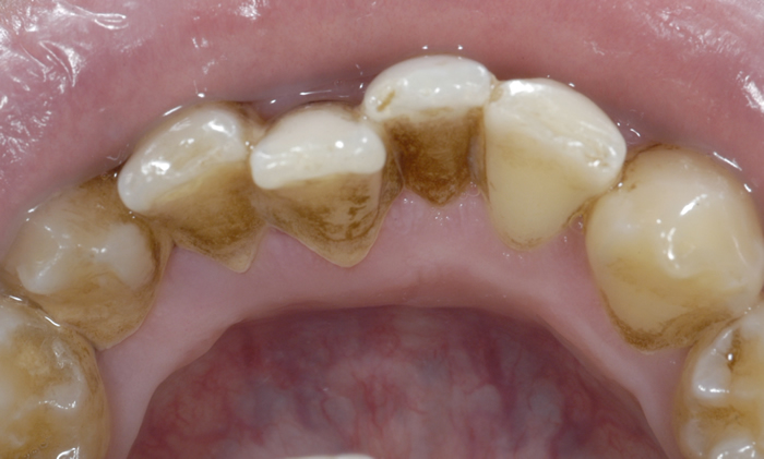
PMTC
案例1
| 治疗前 | 治疗后 | 
|---|---|
| 
 | 
 | 
治疗相关风险
可能会暂时出现牙齿敏感。


 
         
         
         
         
        
