横滨知名牙科诊所【HIRO横滨牙科】根管治疗・美容牙科・龋齿治疗

菜单

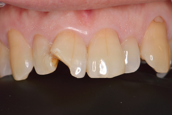
美学牙科治疗案例精密美学带来美丽效果

美学牙科治疗 案例①

Before Treatment
After Treatment

 

治疗相关风险

存在破裂和色调再现的局限性。

交通指南

从横滨站北西口出来步行3分钟

地址:〒221-0835
横滨市神奈川区鹤屋町2-20-2田代大厦3F
电话:+81-045-311-8241 电话支持仅提供英语或日语。

查看Google地图

咨询请点击此处

初次就诊的患者请点击此处

返回顶部